Journal of Preventive Medicine And Care

Journal of Preventive Medicine And Care

Journal of Preventive Medicine and Care

Current Issue Volume No: 2 Issue No: 4

Case Report  Open Access Available online freely Peer Reviewed Citation

A Rare Cause of Fever of Unknown Origin: Reverse Shapiro’s Syndrome

Article Type: Case Report

1Ministry of Health, Istanbul Okmeydani Training and Research Hospital, Department of Pediatrics, Istanbul, Turkey

2Department of Infectious Diseases and Clinical Microbiology, Ministry of Health Bakırköy Dr. Sadi Konuk Training and Research Hospital, Istanbul, Turkey

Abstract

Reverse Shapiro’s syndrome is described as unexplained hyperthermia coexisting with agenesis of the corpus callosum. Its pathophysiology dwells on the role of dopaminergic hypersensitivity caused by hypothalamic dysfunction. Until now, only 5 cases have been described in the literature as reverse Shapiro’s syndrome. We present a case of a 6-month-old girl who is now the sixth patient described in the literature. A 6-month-old female patient was admitted to the pediatrics unit for fever of unknown origin. Her fever occurred 2-3 times a day on average between 38°C and 39.5°C, and lasted for 1-2 hours. The fever was not diurnal, and antipyretics or staying in an air-conditioned room had no effect. She also had 2 convulsions during her hospital stay. Cranial magnetic resonance imaging (MRI) was requested owing to the patient’s convulsion history and retarded development. The cranial MRI showed diffuse hypoplasia of the corpus callosum in the midline sagittal T2-weighted image. T1-weighted imaging showed hypointensity due to delayed myelination of the genu of the corpus callosum (Figure 2, white arrow), which should normally appear hyperintense like the posterior limb of the internal capsule. Although dopamine agonists and serotonin agonists are recommended for the treatment, the rate of response to medical treatment is very low. Our patient did not benefit from cyproheptadine and methyl prednisolone.

Author Contributions
Received 11 Feb 2019; Accepted 14 Mar 2019; Published 26 Mar 2019;

Academic Editor: Abha tewari, The george Institute for Global Health, India.

Checked for plagiarism: Yes

Review by: Single-blind

Copyright ©  2019 Huseyin Dag, et al.

License
Creative Commons License     This is an open-access article distributed under the terms of the Creative Commons Attribution License, which permits unrestricted use, distribution, and reproduction in any medium, provided the original author and source are credited.

Competing interests

The authors have declared that no competing interests exist.

Citation:

Huseyin Dag, Yelda Turkmenoglu, Tugce Aksu Uzunhan, Edebali Erdogan, Ozge Yapıcı Ugurlar et al. (2019) A Rare Cause of Fever of Unknown Origin: Reverse Shapiro’s Syndrome. Journal of Preventive Medicine And Care - 2(4):1-6. https://doi.org/10.14302/issn.2474-3585.jpmc-19-2655

Download as RIS, BibTeX, Text (Include abstract )

DOI 10.14302/issn.2474-3585.jpmc-19-2655

Introduction

Although Shapiro’s syndrome was first described in 1969 as a disease that involves agenesis of the corpus callosum, hypothermia and excessive sweating, more detailed information concerning this syndrome has been published more recently 1, 2, 3. On the other hand, the reverse Shapiro’s syndrome was first described by Hirayama et al. as a syndrome that involves agenesis of the corpus callosum and hyperthermia as opposed to hypothermia 4. These two opposite syndromes are thought to stem from the dysregulation due to denervation of the hypothalamic center 5, 6. In the literature, Shapiro’s syndrome is relatively more common than reverse Shapiro’s syndrome, reports of which are very rare. To the best of our knowledge, our case is only the sixth patient with reverse Shapiro’s syndrome currently presented. However, unlike the other cases in the literature, our patient had advanced hypoplasia instead of agenesis of the corpus callosum. We decided to present this case because we believe this syndrome should also be considered as a rare cause of fever of unknown origin.

Case Presentation

A 6-month-old female patient was admitted to the pediatrics unit for fever of unknown origin. Her fever occurred 2-3 times a day on average between 38°C and 39.5°C, and lasted for 1-2 hours. The fever was not diurnal, and antipyretics or staying in an air-conditioned room had no effect. She also had 2 convulsions during her hospital stay. Her medical history revealed that she was born via normal vaginal delivery, her weight was 3390 g (50-75th percentile), her height was 51 cm (75-90th percentile), and her head circumference was 35 cm (50-75th percentile). She had been admitted to other hospitals twice previously owing to fever and convulsions, and she was started on levetiracetam and phenobarbital by the pediatric neurology department. Her physical examination showed poor neuromotor development as well as hypotonicity. She had poor connection with the environment, could not hold her head up, did not smile, and could not follow objects. There was also a significantly marked decline in the percentiles of her anthropometric measurements: <3rd percentile for body weight (5180 g) and head circumference (39 cm) and in the 10-25th percentile for height (64 cm).

Her initial tests showed a white blood cell count of 12,17 /mmз, red blood cell count of 3.6 × 106/µL, mean corpuscular volume of; 75 fL, hemoglobin concentration of 9.3 g/dL, and platelet count of 38,8000/mmз. A sepsis workup was also performed as well as procalcitonin (<0.12 ng/mL) and C-reactive protein (0.94 mg/L) tests, peripheral blood smear, blood culture (at least 3 times), cerebrospinal fluid culture and analysis, complete urinalysis, urine culture, posterior-anterior chest radiography, and cranial, abdominal, and thoracic computed tomography. There were no pathological findings. The patient did not have any abnormalities in her biochemical parameters in the liver and kidney function tests. Results of the tests for immunodeficiency and microbiological pathologies (brucella, tuberculosis, salmonella, cytomegalovirus, rubella, toxoplasmosis, mycoplasma, chlamydia, and hepatitis) were also assessed as normal. There were no rheumatic findings in the physical examination and laboratory tests. Results of the echocardiogram performed to eliminate carditis were normal. Tests for an endocrine pathology revealed that follicle-stimulating hormone, luteinizing hormone, estradiol, somatomedin C, prolactin, thyroid-stimulating hormone, free thyroxine, cortisol, and adrenocorticotropic values were also normal. Her eye examination showed that she had bilateral optic disc atrophy and coloboma. The patient had normal blood gas values and no tubulopathy.

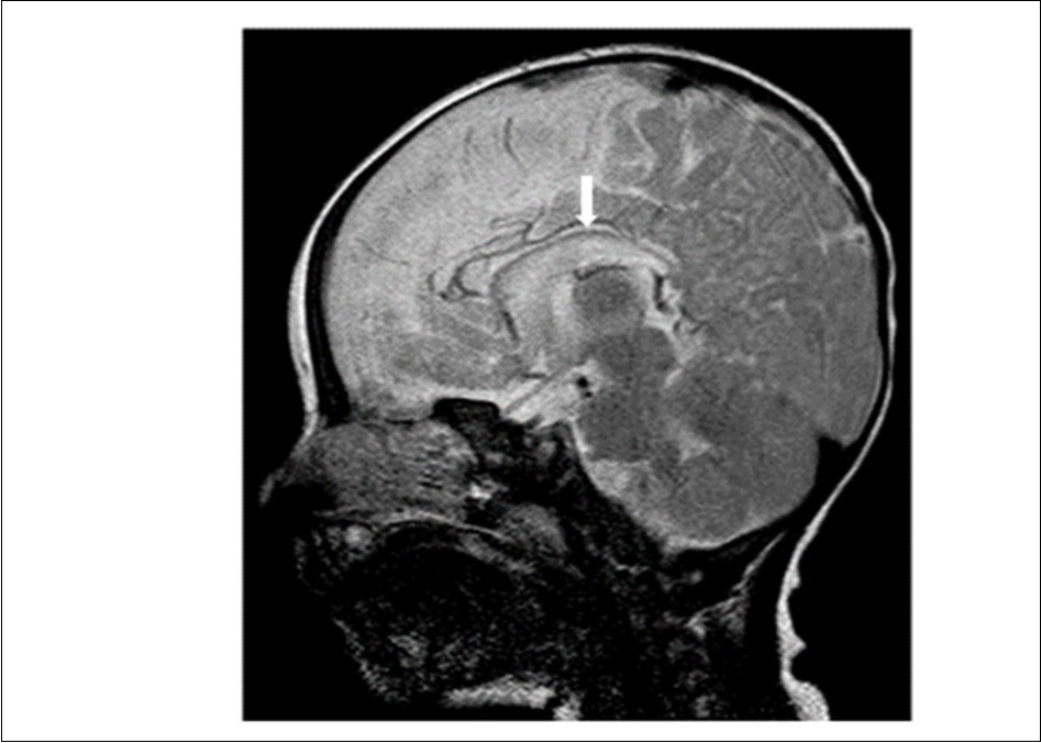
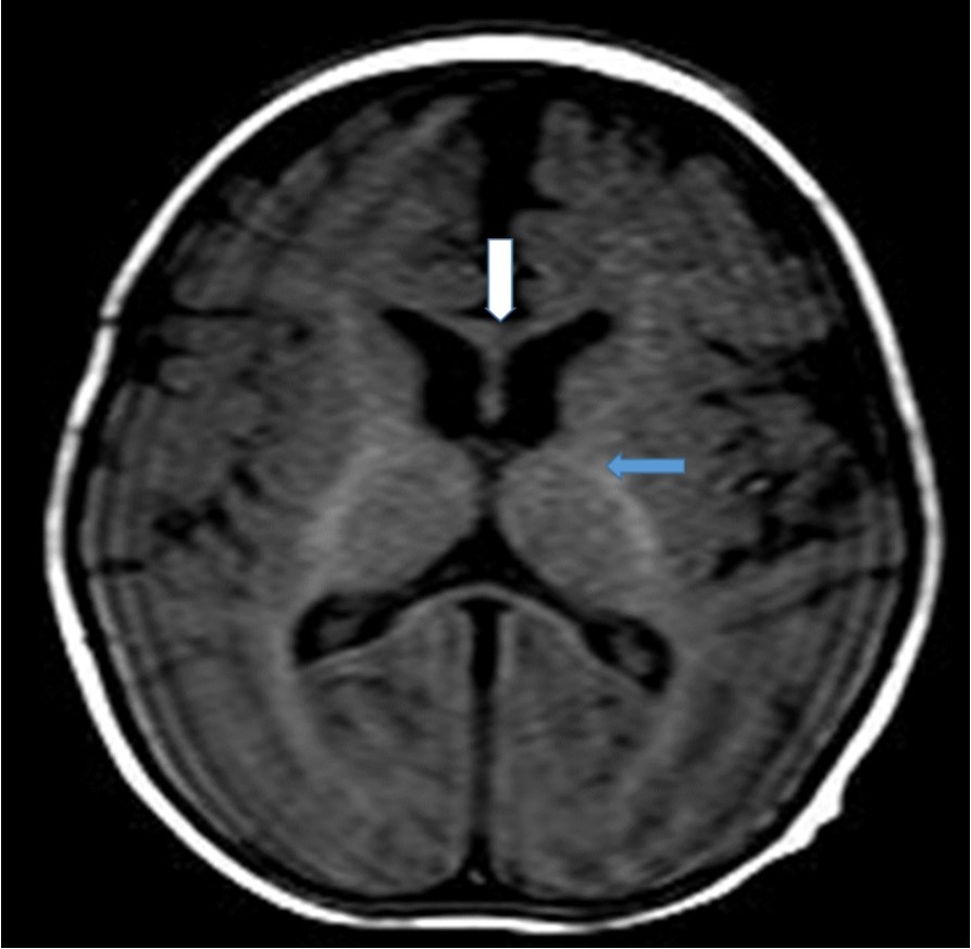
Cranial magnetic resonance imaging (MRI) was requested owing to the patient’s convulsion history and retarded development. The cranial MRI showed diffuse hypoplasia of the corpus callosum in the midline sagittal T2-weighted image (Figure 1 white arrow). T1-weighted imaging showed hypointensity due to delayed myelination of the genu of the corpus callosum (Figure 2, white arrow), which should normally appear hyperintense like the posterior limb of the internal capsule (Figure 2, blue arrow).

Figure 1.Midline sagittal T2-weighted magnetic resonance image of the patient showing diffuse hypoplasia of the corpus callosum.
 Midline sagittal T2-weighted magnetic resonance image of the patient showing diffuse hypoplasia of the corpus callosum.

Figure 2.T1-weighted magnetic resonance image of the patient (7-month-old girl). The genu of the corpus callosum is hypointense due to myelination delay. In this age group, the genu of the corpus callosum should become hyperintense similar to the posterior limb of the internal capsule (blue arrow) due to myelination.
 T1-weighted magnetic resonance image of the patient (7-month-old girl). The genu of the corpus callosum is hypointense due to myelination delay. In this age group, the genu of the corpus callosum should become hyperintense similar to the posterior limb of the internal capsule (blue arrow) due to myelination.

Reverse Shapiro’s syndrome was thought to be the cause of fever after a 40-day follow-up in the pediatrics unit. All antibiotic therapies were discontinued. The patient was initially started on 2 mg/kg methylprednisolone. When the patient did not respond to the treatment protocol after 5 days, she was started on three doses of 0.25 mg/kg/day oral cyproheptadine hydrochloride. The treatment was stopped when there was no response following 3 days of treatment.

The patient was clinically stable and therefore discharged to follow-up as an outpatient. Her fever was still ongoing in three follow-up visits performed at monthly intervals. However, the parents’ fear of the fever was significantly reduced as compared to the previous period and they accepted fever as a component of their child’s diagnosis.

Discussion

Shapiro described the Shapiro’s syndrome first time in 1969 with the triad of hypothermia, excessive sweating, and agenesis of the corpus callosum 1. Hirayama et al. first described the form of this triad that involves hyperthermia instead of hypothermia as a reverse Shapiro’s syndrome in a 14-year-old female patient 4.

Lin and Wang reported reverse Shapiro’s syndrome coexisting with agenesis of the corpus callosum in a 9-month-old female patient in 2005 6.

In 2012, Guha et al. reported encountering the signs of reverse Shapiro’s syndrome while investigating the etiology of a fever of unknown origin in a 3-month-old female patient. A low dose of levodopa was administered to this patient, but the fever could not be managed. The fever persisted until she was 14 months old, and only physical methods such as tepid sponging were used 7.

In 2013, Topçu et al. detected agenesis of the corpus callosum in a 3.5-year-old female patient with recurrent fever and vomiting, after excluding other factors that could cause fever, and reported a diagnosis of reverse Shapiro’s syndrome. This case differed from other cases in the literature as there was coexisting hypothermia. This patient did not respond to cyproheptadine treatment 8.

Mansour et al. reported reverse Shapiro’s syndrome in a 6-month-old male patient who was diagnosed prenatally with agenesis of the corpus callosum and presented with recurrent fever of unknown origin. The bouts of fever could be managed in this patient with cyproheptadine treatment 9.

To the best of our knowledge, ours is the sixth case reported in the literature of a child whose condition was assessed to be consistent with reverse Shapiro’s syndrome after required testing was performed. For our patient, a multidisciplinary approach was employed and the patient was followed up by our unit for treatment of fever of unknown origin as in other cases. The difference between our case and other cases in the literature was that our patient had coexisting hypoplasia instead of agenesis of the corpus callosum.

Several hypotheses concerning episodic hypothermia in Shapiro’s syndrome have also been suggested in the literature. Agenesis of the corpus callosum does not normally cause thermal dysregulation. Callosotomy does not disrupt thermoregulation and normally there is no coexisting hypothermia. This condition may stem from hypothalamic malformation, convulsion, or neurochemical disorders 4.

Agenesis of the corpus callosum can be accompanied by other malformations of the central nervous system. The hypothalamus plays a key role in thermoregulation. Thermal changes can occur when a degenerative disease, tumor, or other disorders affect the hypothalamus. Two thermoregulatory centers in the hypothalamus have opposite actions, and sometimes cause hypothermia and sometimes causing hyperthermia. Faulty structuring of the dopamine-related thermoregulatory circuit and excessive hypersensitivity of dopamine receptors have been suggested as a possible pathophysiology. This may in turn lead to dopaminergic denervation. In addition, neuronal degeneration may coexist with hypothalamic fibrillary gliosis in these patients 1, 6, 8, 10.

Although there is currently no effective treatment for Shapiro’s or reverse Shapiro’s syndrome, some treatment options have been used in cases of both hypothermia and hyperthermia. Dopamine agonists (levodopa), dopamine antagonists (chlorpromazine hydrochloride), α2-adrenergic agonist (clonidine), or sympathectomy has been preferred for managing patients with hypothermia 4, 5, 11, 12. Hirayama et al. were able to control fever by administering 200 mg/day levodopa, although the patient developed hypothermia at a dose of 400 mg/day 4. In the case presented by Ling and Wang, neither a dopamine agonist (levodopa) nor a serotonin antagonist (cyproheptadine hydrochloride) were effective for managing hyperthermia. Similarly, Guha et al. and Topçu et al. could not control hyperthermia by administering cyproheptadine hydrochloride to their patient 6, 7, 8. In the case presented by Mansour et al., hyperthermia was controlled after administering 3 doses of cyproheptadine hydrochloride at a dosage of 0.25 mg/kg/day orally 9.

In our case, the patient was initially administered 2 doses of 2 mg/kg/day methylprednisolone parenterally for fivedays following the diagnosis of reverse Shapiro’s syndrome. Since there was no response, the treatment was stopped and the patient was started on 3 doses of 0.25 mg/kg/day cyproheptadine hydrochloride orally. However, hypothermia was not under control after 72 hours and this treatment was also stopped.

Conclusion

Reverse Shapiro’s syndrome accompanied by agenesis or hypoplasia of the corpus callosum should always be considered in the etiology of fever of unknown origin when a diagnosis cannot be made after conducting a physical examination and all necessary tests.

Acknowledgments

There is no conflict of interest.

References

  1. 1.Shapiro W R, Williams G H, Plum F. (1969) Spontaneous recurrent hypothermia accompanying agenesis of the corpus callosum. , Brain 92, 423-36.
  1. 2.Tambasco N, Corea F, Bocola V. (2005) Subtotal corpus callosum agenesis with recurrent hyperhidrosishypothermia (Shapiro syndrome). , Neurology 65, 124.
  1. 3.C M Segeren, K H Polderman, Lips P.Agenesis of the corpus callosum associated with paroxysmal hypothermia: Shapiro’s syndrome.
  1. 4.Hirayama K, Hoshino Y, Kumashiro H, Yamamoto T. (1994) Reverse Shapiro’s syndrome-a case of agenesis of corpus callosum associated with periodic hyperthermia. , Arch Neurol 51, 494-6.
  1. 5.Kloos R T. (1995) Spontaneous periodic hypothermia. , Medicine (Baltimore) 74, 268-80.
  1. 6.Lin K L, Wang H S. (2005) Reverse Shapiro’s syndrome: An unusual cause of fever of unknown origin. , Brain Dev 27, 455-7.
  1. 7.Guha S, Guha G, Hashmi M. (2012) A case of periodic fever with corpus callosum agenesis: reverse Shapiro’s syndrome. , J Pediatr Neurosci 7, 153-154.
  1. 8.Topcu Y, Bayram E, Karaoglu P, Yis U, Kurul S H. (2013) The combination of thermal dysregulation and agenesis of corpus callosum: Shapiro&apos;s or/and reverse Shapiro&apos;s syndrome. , Ann Indian Acad Neurol 16, 716-9.
  1. 9.Mansour H, Sabouneh M, Hmaimess G. (2017) A Case of Reverse Shapiro Syndrome Responding to Cyprohepatadine. , SM J Pediatr 2(2), 1010.
  1. 10.Jeret J S. (1995) Reverse Shapiro&apos;s syndrome revisited. , Arch Neurol 52, 547.
  1. 11.LeWitt P A, Newman R P, Greenberg H S, Rocher L L, Calne D B et al. (1983) Episodic hyperhidrosis, hypothermia, and agenesis of corpus callosum. , Neurology 33, 1122-9.
  1. 12.Noël P, Hubert J P, Ectors M, Franken L, FlamentDurand J. (1973) Agenesis of the corpus callosum associated with relapsing hypothermia. A clinicopathological report. , Brain 96, 359-68.

Cited by (2)

This article has been cited by 2 scholarly works according to:

OpenAlex 1 citations Crossref 1 citations Semantic Scholar 1 citations