IOLcano Eruption: Eye on Fire With Rubeosis Iridis' Lava Flow
Abstract
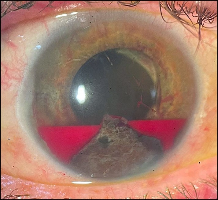
A 40-year-old male presented with visual impairment in the right eye (OD). He had undergone a pars plana vitrectomy for retinal detachment in the OD three years prior. Biomicroscopic examination revealed significant hyperemia, rubeosis iridis, anterior subluxation of the intraocular lens (IOL), and an organized hyphema located in the inferior third of the anterior chamber, characterized by the entrapment of iris tissue between the anterior synechia and the IOL.
Figure 1.Intraocular lens anterior subluxation associated with organized hyphema and anterior iris synechia.
Author Contributions
Academic Editor: Asaad Ghanem, Mansoura ophthalmic center, mansoura university, mansouraam.
Checked for plagiarism: Yes
Review by: Single-blind
Copyright © 2023 Joao Alves-Ambrósio, et al.
This is an open-access article distributed under the terms of the Creative Commons Attribution License, which permits unrestricted use, distribution, and reproduction in any medium, provided the original author and source are credited.
Competing interests
The authors have declared that no competing interests exist.
Citation:
