Internal Jugular Vein and Transverse Sinus Thrombosis as a Complication of a Chronic Ethmoidal Sinusitis
Abstract
Lemierre’s syndrome is rare jugular thrombosis associated with an oropharyngeal infection. The jugular thrombosis is from septic origin. This often happens in young males subjects. We described Lemierre’s syndrome in a 46 year-old man with a chronic ethmoidal sinusitis associated to the left jugular thrombosis extended to the transverse sinus with a partial recanalisation after three months of oral anticoagulant therapy.
Author Contributions
Academic Editor: Marzia Lecchi, Department of Biotechnology and Biosciences, University of Milano-Bicocca
Checked for plagiarism: Yes
Review by: Single-blind
Copyright © 2017 Kombate Damelan, et al.
This is an open-access article distributed under the terms of the Creative Commons Attribution License, which permits unrestricted use, distribution, and reproduction in any medium, provided the original author and source are credited.
Competing interests
The authors have declared that no competing interests exist.
Citation:
Introduction
Lemierre’s syndrome is characterized by septicemia with anaerobic germ starting with the oropharyngeal infection which can sometimes be asymptomatic1. It was described for the first time in 1936 by Lemierre2. This syndrome affects predominantly healthy adolescents or young adults with a moderate male preponderance. It associates thrombosis of the internal jugular vein with diffuse septic embolisms notably at the pulmonary level. The jugular thrombosis is the main site of this syndrome which sometimes does not present all the other attacks3. It is a rare disease and its incidence has been estimated at 0.8 / 1000000 inhabitants / year in Denmark. The objective was to describe a case of jugular and transverse thrombosis associated with ethmoidal sinusitis.
Clinical Case
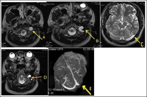
A 46-year-old man was admitted in neurology on June 27, 2016 for left occipito-temporal headache progressively for 2 weeks associated sometimes with nausea and rarely vomiting. He underwent a physical examination of an ophthalmologist and then by a physician of Otorhinolaryngology who had not diagnosed any pathology. On admission, somatic examination was normal. Routine biologic test were normal kidney, hepatic, ionogram, blood count were normal, sedimentation rate was 22 mm /h and C-reactive protein was less normal). The activated cephalin time and the plasmatic homocysteinemia were normal. The activity of protein S and the activated protein C were normal. The chest X-ray and electrocardiogram were normal. The brain ct-scan suspected a left transverse sinus thrombosis. Venous magnetic resonance angiography displayed a left internal jugular vein thrombosis extended to the left transverse sinus associated with a left ethmoidal sinusitis (Figure 1). The cervical doppler was normal. Treatment with low molecular weight heparin was initiated and then replaced with antivitamins K to achieve an international normalized ratio (INR) between 2 and 3 in addition to ofloxacin for 2 weeks and paracetamol. After three months, its remains a partiel jugular thrombosis with persistance of complete transverse sinus thrombosis.
Figure 1.Thrombosis of the left internal jugular vein extended to the transverse sinus (A, B, C). After three months of anticoagulant therapy, it remains a partial thrombosis of the jugular vein (D) and complete thrombosis of the transverse sinus (E).
Discussion
Chronic jugular thrombosis is the main cause of Lemierre's syndrome. This syndrome affects young subjects and includes characteristics of internal jugular vein thrombosis associated with diffuse septic embolisms and especially in the lungs. The mechanism of this thrombosis is not well understood even if a neighboring infection is evident5. The most common germ is Fusobacterium necrophorum. Symptoms include headache and progressive cervical pain. The infection can sometimes be overlooked. Complications such as septicemia, pulmonary embolism, papillary edema with optical neuritis, upper airway edema are possible. The treatment is mostly medical and combines an antivitamin K for 3 months and antibiotics for 4 to 6 weeks6. According to certain authors, anticoagulant therapy would lead to the spread of germs7. There are two theories to explain the occurrence of thrombophlebitis: the first assumes that infection occurs because of continuity with the wall of the internal jugular vein, while the second supposes that there is a hematogenous or lymphogenic dissemination from the peritonsillary vessels. The dissemination of the infection takes place in the parapharyngeal space, either by contiguity or through Veins and tonsillary lymphatics with thrombosis of the internal jugular vein by septic embolization 8. In our case the isolation of the germ was difficult because it required a sampling on the infectious focus. The surgical treatment by resection of the thrombosed vein is rare, it is indicated in case of compression of the carotid artery and the upper airways. The prognosis depends on the diagnostic and therapeutic precocity.
Conclusion
The mechanism of jugular thrombosis in Lemierre syndrome is poorly understood. However, the septic character of this thrombosis is certain. The prognosis of this pathology is much better under antibiotic and anticoagulant treatment.
References
- 1.Kim B Y, Yoon D Y, Kim H C, Kim E S, Baek S et al.Thrombophlebitis of the internal jugular vein (Lemierre syndrome): clinical and CT findings. , Acta Radiol.2013Jul 54(6), 622-7.
- 2.Ascher E, Salles-Cunha S, Hingorani A.Morbidity and mortality associated with internal jugular vein thromboses. Vasc Endovascular Surg.2005Jul-Aug. 39(4), 335-9.
- 3.Righini C A, Karkas A, Tourniaire R, N'Gouan J M, Schmerber S et al.Lemierre syndrome: study of 11 cases and literature review. Head Neck.2014Jul. 36(7), 1044-51.
- 5.Chirinos J. (2002) The Evolution of Lemierre Syndrome – report of 2 cases and a review of the literature. , Medicine 81, 458-465.
- 6.J M Ridgway. (2010) Lemierre Syndrome: a pediatric case series and review of literature. , American Journal of Otolaryngology – Head and Neck Medicine and Surgery 31, 38-45.
