Journal of Neurological Research And Therapy

Journal of Neurological Research And Therapy

Journal of Neurological Research and Therapy

Current Issue Volume No: 1 Issue No: 4

Case Report Open Access Available online freely Peer Reviewed Citation

Spontaneous Carotid-Cavernous Fistula and Subarachnoid Hemorrhage

Article Type: Case Report

1University of Lomé , Teaching Hospital CAMPUS – Lomé , Neurology Department, 03Bp 30284

Abstract

Carotid-cavernous fistula (CCF) is a rare neurological condition with risk of death in case of inappropriate management. The outcome of this pathology is very bad in developing countries with inadequate technical Platform. We underlined the main difficulties of the management of CCF in a 43 years-old Togolese woman with a fatal outcome.

Author Contributions
Received 30 Aug 2016; Accepted 29 Sep 2016; Published 03 Oct 2016;

Academic Editor: Biswarup Ghosh, Thomas Jefferson University, Dept. of Neuroscience, Philadelphia, US

Checked for plagiarism: Yes

Review by: Single-blind

Copyright ©  2016 KOMBATE Damelan, et al.

License
Creative Commons License     This is an open-access article distributed under the terms of the Creative Commons Attribution License, which permits unrestricted use, distribution, and reproduction in any medium, provided the original author and source are credited.

Competing interests

The authors have declared that no competing interests exist.

Citation:

Kombate Damelan, Guinhouya Kokou Mensah, Apetse kossivi kumako vinyo, Belo mofou, Balogou agnon ayélola koffi (2016) Spontaneous Carotid-Cavernous Fistula and Subarachnoid Hemorrhage. Journal of Neurological Research And Therapy - 1(4):10-12. https://doi.org/10.14302/issn.2470-5020.jnrt-16-1279

Download as RIS, BibTeX, Text (Include abstract )

DOI 10.14302/issn.2470-5020.jnrt-16-1279

Summary

The carotid-cavernous fistula (CCF) is a communication between the internal carotid artery and the cavernous sinus vein. This is a rare condition 1. It is often described in trauma but the CCF can be spontaneous. CCF can be direct in traumatic condition (direct communication between intra-cavernous carotid artery and the cavernous sinus vein) or indirect 2. The indirect CCF is spontaneous and can be related to cranial venous sinus thrombosis, carotid

aneurysm or previous cranial surgeries. The great CCF engages the functional and vital prognosis if the management is not early and appropriate. In developing countries, the mortality rate is high because of lack of arteriography. We report a case of CCF.

Case Report

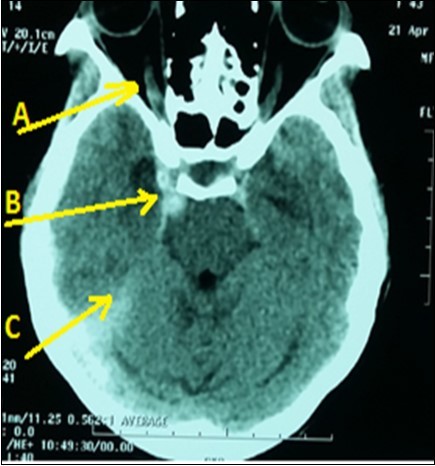
A 43-year lady, right-handed, single and mother of two children, was admitted in emergency neurology for intense headaches with vomiting, 2 generalized seizures and a sudden onset of consciousness disorders on April 19, 2016. Symptoms began two hours before her admission. She had no vascular history. The physical examination revealed intense headaches. The blood pressure was 130/80 mmHg with normal temperature (36.8 ° C). There was a light comas status with a Glasgow score of 12/15, a stiff neck, left hemiparesis and a bilateral Babinski reflex, right ptosis associated with reactive mydriasis, an exophthalmos and a total right ophthalmoplegia. Ophthalmologic examination revealed a right visual acuity of 1/10 with macular chorioretinitis. The brain CT scan (Figure 1) displayed a dilatation and hyper-density of right cavernous sinus with dilatation of the right ophthalmic vein associated with a subarachnoid hemorrhage. The routine biological tests were normal. An analgesic treatment had been administered in addition to nimodipine and mannitol (against brain edema) and clonasepam (against seizures). Unfortunately, as interventional neuroradiology and arteriography are not available, the patient had died on the seventh day of hospitalization in a context of increased intracranial hypertension.

Figure 1.Brain CT scan displaying right CCF (Arrow B) with subarachnoid hemorrhage (Arrow C) and right ophtalmic vein dilatation (Arrow A)
 Brain CT scan displaying right CCF (Arrow B) with subarachnoid hemorrhage (Arrow C) and right ophtalmic vein dilatation (Arrow A)

Discussion

The CCF is a rare condition with bad functional outcome and the risk of death if there is no appropriate treatment. It is often due to traumatic conditions, but can be spontaneous. Subarachnoid hemorrhage can be a CCF complication. The clinic is marked by signs of intracranial hypertension with headaches and sudden onset of vomiting and sometimes consciousness disorders, total ophtalmoplegia (with involvement of the eye intrinsic motricity) by damage of common oculomotor (III), the trochlear (IV) and abducens (VI) nerves 3. The pathophysiological mechanism of spontaneous CCF is poorly understood. Spontaneous CCF usually results from a ruptured cavernous carotid aneurysm; thrombophlebitis or in the case of collagen vascular disease, atherosclerotic disease, hypertension, or childbirth 4. The brain scan can confirm the diagnosis, quantifies exophthalmia by measuring the eye-orbital index, search dilatation of the superior ophthalmic vein and a widening of the cavernous sinus, which are indirect signs of fistula. The magnetic resonance imaging (MRI) provides the same information as the brain scanner 5. The Doppler suggests arteriovenous fistula, displays an inverted Doppler signal directed towards the face with a systolic reinforcement at the ophthalmic vein. The arteriography can confirm the diagnosis with great precision and enable embolization of the fistula usually by arterial endovascular or rarely by internal jugular venous route if there is a contra-indication for arterial route. CCF can be either treated by microvascular neurosurgical or endovascular techniques. The preferred technique is from an endovascular approach due to the lower morbidity and mortality. However, the endovascular approach and the microvascular neurosurgical depend on the feature characteristics of the CCF 6, 7. Even if the treatment is well conducted, complications are possible, namely a varicose vein of the cavernous sinus, a non-physiological cortical venous drainage causing a hemorrhage with intracranial hypertension 8.

Conclusion

CCF is rare. In developing countries, the management of CCF is very difficult because of the lack of appropriate technical platform. This condition increases the mortality rate. Arteriography is appropriate for diagnosis and endovascular treatment. Spontaneous CCF is always the result of other pathological conditions (cavernous sinus vein thrombophlebitis, carotid aneurysm).

References

  1. 1.Pang P F, Jiang Z B, Zhou B, Li Z R, Huang M S et al. (2012) [Diagnosis and treatment of carotid-cavernous fistula: analysis of 28 patients]. , Zhonghua Yi Xue Za Zhi 92(21), 1458-62.
  1. 2.Ellis J A, Goldstein H, Connolly ES Jr, Meyers P M. (2012) Carotid-cavernous fistulas. Neurosurg Focus. 32(5), 9.
  1. 3.Asano T, Houkin K, Moriwaki T, Niiya Y, Mabuchi S. (2012) [Case of direct carotid-cavernous fistula presenting with subarachnoid hemorrhage]. , No Shinkei Geka 40(3), 235-9.
  1. 4.Wang Q, Chen G. (2013) Endovascular treatment of bilateral multiple carotid-cavernous fistulas in a patient with Ehlers-Danlos syndrome. , J Neurol Surg A - Cent Eur Neurosurg 74, 41-4.
  1. 5.Malan J, Lefeuvre D, Mngomezulu V, Taylor A. (2012) Angioarchitecture and treatment modalities in posttraumatic carotid cavernous fistulae. , Interv Neuroradiol 18(2), 178-86.
  1. 6.Ducruet A F, Albuquerque F C, Crowley R W, McDougall C G. (2013) The evolution of endovascular treatment of carotid cavernous fistulas: a single-center experience. pii:S1878-8750(13)00298-2 World Neurosurg.
  1. 7.Gemmete J J, Ansari S A, Gandhi D M. (2009) Endovascular techniques for treatment of carotid-cavernous fistula. , J Neuroophthalmol 29(1), 62-71.
  1. 8.Grumann A J, Boivin-Faure L, Chapot R, Adenis J P, Robert P Y. (2012) Ophthalmologic outcome of direct and indirect carotid cavernous fistulas. , Int Ophthalmol 32(2), 153-9.