Journal of Clinical Research In HIV AIDS And Prevention

Journal of Clinical Research In HIV AIDS And Prevention

Journal of Clinical Research in HIV AIDS and Prevention

Current Issue Volume No: 3 Issue No: 2

Review Article Open Access Available online freely Peer Reviewed Citation

Squamous Cell Carcinoma of the Conjunctiva (Scc) and Human Immunodefisciency Virus (Hiv): What Reality in Ivory Coast Through 23 Cases?

Article Type: Review Article

1Ophthalmology Department of University Hospital of Treichville

2Ophthalmology Department of University Hospital of Yopougon

Abstract

Introduction:

Squamous cell carcinomas of the conjunctiva (SCC) are rare neoplasia but have a high rate of increase and a high rate of mortality, especially when they occur in the context of Human Immunodeficiency Virus (HIV) infection. The objective of this study was to establish an epidemiological and clinical profile of SCC in patients living with HIV and to assess its evolutionary characteristics.

Patients and Methods:

this was a descriptive cross-sectional study carried out over a period of 5 years in the ophthalmology department of the University Hospital of Treichville. The data collected focused on epidemiological, clinical, pathological, therapeutic and evolutionary elements. Twenty tree eyes of 23 patients were examined during this period.

Results:

The average age of our patients was 45 years with extremes ranging from 31 to 60 years. A female predominance was observed with a sex ratio of 0.92. The average consultation period was 18 months with extremes ranging from 6 to 60 months. Physically, 35% of our eyes (08 eyes) presented a functional loss of the eye. All our patients had a HIV positive status with 16 cases of HIV1 infection, 4 cases of HIV 2 infection and 3 cases of HIV 1 and 2 co-infection. Lymphocyte typing was performed for 15 patients out of the 23 With CD4 cell counts ˂ 200 in 30.43% of cases, between 200 and 500 in 34.78% of cases. All our tumors had had biopsy excision with pathological examination. A postoperative adjuvant topical chemotherapy in 6 cases. The average follow-up period of our patients was 29 months. In all cases, it was invasive differentiated squamous cell carcinoma.

Discussion:

HIV infection is a risk factor for the occurrence of conjunctival squamous cell carcinoma, but it is also an aggravating factor especially in the case of low CD4 cell count, particularly in sub-Saharan Africa, where the fight against infection, although boosted in these recent years, is far to achieve all objectives

Conclusion:

HIV seroprevalence is very often associated with opportunistic infections which include carcinogenic processes such as squamous cell carcinomas of the conjunctiva

Author Contributions
Received 05 Jul 2017; Accepted 20 Sep 2017; Published 29 Sep 2017;

Academic Editor: Tsegahun Manyazewal, Center for Innovative Drug Development and Therapeutic Trials for Africa (CDT - Africa)

Checked for plagiarism: Yes

Review by: Single-blind

Copyright ©  2017 Berete Coulibaly R, et al

License
Creative Commons License     This is an open-access article distributed under the terms of the Creative Commons Attribution License, which permits unrestricted use, distribution, and reproduction in any medium, provided the original author and source are credited.

Competing interests

The authors have declared that no competing interests exist.

Citation:

Berete Coulibaly R, Konan Abokan J, Sowagnon Thierry Y C, Kouakou Kouassi S, Fanny Adama (2017) Squamous Cell Carcinoma of the Conjunctiva (Scc) and Human Immunodefisciency Virus (Hiv): What Reality in Ivory Coast Through 23 Cases?. Journal of Clinical Research In HIV AIDS And Prevention - 3(2):9-13. https://doi.org/10.14302/issn.2324-7339.jcrhap-17-1694

Download as RIS, BibTeX, Text (Include abstract )

DOI 10.14302/issn.2324-7339.jcrhap-17-1694

Introduction:

The epidemic of HIV infection in sub-Saharan Africa, which bears the greatest burden, represents at least 70% of infected persons for 11% of the world's population, 75% of deaths and 90% of infections in children 1, 2. A HIV-infected person may remain asymptomatic for 2 to 10 years or more. The occurrence of opportunistic infections in general is related to a significant decline in immune defenses and an increase in the viral load defining AIDS 3. Conjunctival squamous cell carcinoma like all tumor diseases presents itself as an opportunistic infection. A classification of the CDC 1993 determines a correlation between the CD4 cell count and the clinical course of AIDS 4. Unfortunately, in sub-Saharan Africa, particularly in Côte d'Ivoire, it is not easy to get the assay of CD4 cell count in patients living with HIV who arrive in hospitals completely impoverished. In our study only 27 out of 54 patients were able to perform the assay of CD4 cell count.

The objective of our study is to establish an epidemiological and clinical profile of squamous cell carcinoma of conjunctiva (SCC) in patients living with HIV and to assess its evolutionary characteristics in these HIV positive subjects.

Patients and Methods:

We carried out a descriptive cross-sectional study over a period of 4 years from January 2012 to December 2016 in the ophthalmology department of the University Hospital of Treichville. It involved 23 patients.

This study included HIV positive patients who consulted during the period and presented a conjunctival tumor with or without local-regional and cerebral invasion and with a histological diagnosis of epidermoid carcinoma. The data collection included the following elements of the history (age, gender, onset of the symptomatology, Personal and family history), clinical signs and evolution, ophthalmological and radiographic (tomodensitometry) elements.

The pathological diagnosis is obtained after analysis of biopsy incision fragment or surgical excision specimen and enucleation or even exenteration. All surgical procedures are performed under general anesthesia. Samples were fixed with formalin before being sent to the pathology department. HIV-AIDS serology was performed after informed consent of patients, in some cases with the typing of CD4-lymphocytes. Adjuvant or neoadjuvant topical or general chemotherapy has sometimes been used. The statistical analysis was carried out by the Epi-info version 6.0 Software and a statistical comparison using the Chi2 test with a significance threshold set at 5%.

Results:

Epidemiological Results

The average age of our patients was 45 years with extremes ranging from 31 to 60 years. A female predominance was observed with a sex ratio of 0.92(Table 1). All patients were black and lived in Abidjan (sub-Saharan Africa).

Table 1. Age group and Gender
  Age group Gender
˂25 years 25-45 years 46-65 years >65 years Male Female
Effective 0 11 12 0 11 12
Percentage 0% 48% 52% 0% 48% 52%
Total 23 (100%) 23 (100%)

Clinical Results

The average consultation period was 18 months with extremes ranging from 6 to 60 months. Our patients were seen in 70% and 30% respectively for an orbital tumor with exophthalmos and for a conjunctivo-limbic tumor (Table 2, Figure 1, Figure 2). The involvement generally concerned the right eye in 78% of cases that is 18 eyes. Physically, 35% of our eyes (8 eyes) presented a functional loss of the eye (absence of luminous perception)(table 2).

Figure 1.Localized form of conjonctival squamous cell carcinoma
 Localized form of conjonctival squamous cell carcinoma

Figure 2.Invasive form of squamous cell carcinoma with exophthalmlos
 Invasive form of squamous cell carcinoma with exophthalmlos

Table 2. Clinical appeanrance
  Clinical appearance presentation Visual acuity
Ocular and orbit tumor Exophthalmia Conjonctivitis Necrosis >PL+ PL-
tumor tumor
Effective 7 4 8 4 15 8
Percentage 31% 17% 35% 17% 78% 22%
Total 23 (100%) 23 (100%)

HIV Status:

All our patients had a positive HIV status with 16 cases of HIV1 infection, 4 cases of HIV 2 infection and 3 cases of HIV 1 and 2 co-infection(Table3). Lymphocyte typing was performed for 15 patients out of the 23 that is 65.21% with CD4 count ˂ 200 in 30.43% of cases, between 200 and 500 in 34.78% of cases. The mean CD4 cell count was estimated to be 131 elements / ml (Table 3).

Table 3. VIH Statut and CD4 Lymphocytes types
  VIH Statut CD4 Lymphocyte types
Effective VIH1 VIH2 VIH1et 2 ˂200 200-500 >500 Unspecified
16 4 3 7 8 0 8
Percentage % 69,6% 17,4% 13% 30,4% 34,8% 0% 34,8%

Management:

Most tumors underwent a biopsy excision with pathological examination of the surgical specimen. Six patients were treated with adjuvant chemotherapy

Pathological Findings:

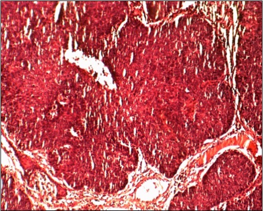
All 23 patients presented invasive differentiated squamous cell carcinoma (Figure 3). None in situ carcinoma was found.

Figure 3.Imature Squamous cell carcinoma ,Hématein Eosin Coloration (HEX100):Epideremoid growth pattern without kératization
 Imature Squamous cell carcinoma ,Hématein Eosin Coloration (HEX100):Epideremoid growth pattern without kératization

Follow Up:

The average follow-up was 18 months. Six patients underwent chemotherapy in register of cancer (cancerology). We noted five cases of recurrence, 8 were lost to follow-up (35%) and 3 deaths occurred during the study.

Discussion:

Squamous cell carcinoma of conjunctiva has also been found to occur in patients aged less than 50 years of age. This is also shown in your study5. We did not find any real gender predominance (sex ratio in the literature is 1) 6, although in our study the sex ratio was in favor of the female gender with 0.92 that is 52%. Several authors, including Imdary 7 and Caujolle 8, have found a male predominance. This finding in sub-Saharan Africa could be explained by the tendency to feminize HIV infection with 6.4% compared to 2.9% of seroprevalence in humans 9. Indeed, HIV infection as well as prolonged solar exposure and HPV (human papilloma virus) infection are unanimously recognized as risk factors 10 especially in tropical Africa. This female population represents the population most exposed to all kinds of abuses (sexual, polygamous and agricultural activities..) in Africa where they assist men to this day. This observation of the predominance of the female sex in the occurrence of the SCC in HIV-positive subjects was also made by Kaimbo Wa Kaimbo et al. 11 in the Congo and by Makupa et al. 12 in Tanzania who found 70% and 62.2%, respectively. HIV induces chronic suppression of the immune system, hence anti-cancer immunity, which increases the oncogenic potential especially in cases of dysplasia 13, 14. Moreover, this acquired immunosuppression is responsible for severe forms of SCC. In our study 70% of patients were seen with orbital tumor associed exophthalmos and 35% of eyes present functional eye loss. Indeed, the prevalence of SCC in patients living with HIV according to Chisi et al 15 is 7.8% in Kenya. In our study we were unable to establish this prevalence, however a large majority of patients received in consultation were HIV-positive, which immediately introduced a bias in our sampling. The severity of the clinical forms is correlated with a low CD4 cell count. According to Place et al., Bekele S. and al.16, 17, squamous cell carcinoma would occur early in patients living with HIV, and when this status is associated with a low CD4 cell count, the prognosis would prove to be poor because these patients seem to succumb to their HIV status rather than squamous cell carcinoma. This important immune depression would be related to a delayed diagnosis, a denial of the disease and the increased precariousness of the populations which creates a brake on their management. As for the influence of the type of HIV on the forms, our study did not establish a correlation between the severity of the forms of SCC and the serotype. On the other hand, we have noted, as in the literature, a clear predominance of HIV 1 on the associated forms and on HIV 2. Indeed, according to a UN-AIDS report, HIV 1 is the dominant serotype in sub-Saharan Africa where more than 2/3 of HIV-infected patients are infected with HIV 1.

The severity of clinical and histopathologica forms maked the management difficult in our context without, cryotherapy, radiotherapy. Most tumors underwent a biopsy excision with pathological examination of the surgical specimen. Six patients were treated with adjuvant chemotherapy. Other treatments have been proposed in the literature and appear to have a beneficial effect: Interferon alpha-2a as alternative treatment18, chemoreduction of the tumor prior to surgery in advanced cases with orbital extension 19 fractionated strontium-90 radiation in a population with a high prevalence of HIV20.

The prognosis remains reserved with 5 cases of recurrence, 3 cases of death. The average follow-up was 18 months. Six patients underwent chemotherapy in register of cancer (cancerology). We noted five cases of recurrence, 8 were lost to follow-up (35%) and 3 deaths occurred during the study. The prognosis of SCC remains poor in our study. The patients who died on adjuvant chemotherapy course had a very involves forms (figure 2) with positive surgical margin. In additional they were VIH positive with CD4 rate below 200 cel/mm3. Penoloppe found higher death rates with 26 patients evaluated over 6 years , therefore, study noted low rate of lost to follow up21. In this study we can established relationship between SCC extended forms and rate low rate of CD4 lymphocyte.

Conclusion:

HIV epidemic contributes to the occurrence of a variety of so-called opportunistic infections such as cancer diseases among which conjunctival squamous cell carcinoma is readily mentioned and whose severity would be correlated with the level of CD4 lymphocytes. The prevention of invasive SCC involves sensibilization, screening of patients with suspicious of conjunctival tumors and above all, localized SCC confirmed must be taken care optimally.

Abreviations:

Squamous Cell Carcinoma =SCC

Human Immunodeficiency Virus = HIV

Human Papilloma Virus =HPV

Light perception = PL

References

  1. 1.Amat-Roze J M, Dumont G F. (1994) Le sida et l’avenir de l’Afrique. Ethique. 12(2), 36-60.
  1. 2.Amat-Roze J M.(April2003) L’infection à VIH/ Sida en Afrique subsaharienne, propos géographique. , Hérodote, 111: 115 – 17.
  1. 3.Ouédraogo S M, Ouédraogo M, Dagnan N S, Adom A H. (2007) Infections opportunistes au cours du Sida au CHU de Treichville. Mali Médical. 22(2), 26-28.
  1. 4.Bissagnene E, Die Kacou H, Aoussi Eba F. (1999) Guide diagnostique et thérapeutique de l’infection à VIH en Afrique. Edition Gut. , Abidjan 120.
  1. 5.Berete C R, Desjardins L, Kouassi L J, Coulibaly F, Kouakou K S. (2016) Relation entre le virus de l’immunodéficience acquis (VIH-sida) et carcinoma épidermoïde conjonctival (CEC): étude épidémioclinique de 26 dossiers au service d’ophtalmologie du CHU de Treichville (Abidjan-Côte d’Ivoire). J Fr Ophtalmol. 39, 467-73.
  1. 6.Acis D, Donnio A, Ayeboua L, Richer R, Guyomarch J. (2008) Carcinome épidermoïde conjonctival : à propos de 4 cas aux Antilles. J Fr Ophtalmol. 31, 533-7.
  1. 7.Imdamy I, Soufi G, El Berdaouin, Chefchaouni M C.Abdellah El et al.Prise en charge des carcinomes épidermoïdes conjonctivaux: à propos de. 41, 2011.
  1. 8.Caujolle J P, Maschi C, Chauvel P, Herault J, Gastaud P.(Déc2009) Surgery and additionnel protontherapy for treatment of invasive and recurrent squamous cell carcinomas: technique and preliminary results. , J Fr Ophthalmol 32(10), 707-14.
  1. 9.Dagnan N S, Tiembré I, Vroh J B B, Diaby B, Zengbe-Acray P. (2013) Seroprévalence de l’infection à VIH en conseils et dépistage volontaire par stratégie mobile en zone rurale en Côte d’Ivoire. Santé publique. 25.
  1. 10.Agaba Ateenyi-.(Mar18,1995) Conjunctival squamous- cell carcinoma associated with HIV infection in Kampala. , Uganda. Lancet 345(8951), 695-6.
  1. 11.D Kaimbo Wa Kaimbo, R Parys-Van Gingerdeuren, Missoten L. (1998) Conjunctival squamous cell carcinoma and intraepithelial neoplasia in AIDS patients in Congo-Kinshasa. , Bull Soc Belge Ophthalmol 268, 135-41.
  1. 12.IMakupa I, Swai B, Makupa W U, White V A, Lewallen S. (2012) Clinical factors associated with malignancy and HIV status inpatients with ocular surface squamous neoplasia at Kilimanjaro Christian medical centre, Tanzania. Br J.Ophthalmol. 96, 482-4.
  1. 13.Dalton-Griffin L, Kellam P. (2009) Infectious causes of cancer and theirdetection. , J Biol 8, 67.
  1. 14.Verma V, Shen D, Sieving P C, Chan C C. (2008) The role of infectious agents in the etiology of ocular adhexal neoplasia. Surv Ophthalmol. 53, 312-31.
  1. 15.Chisi S K, Kollmann M K, Karimurio J.(May2006) Conjunctival squamous cell carcinoma in patients with human immunodeficiency virus infection seen at two hospitals in Kenya.East Afr Med. , J 83(5), 267-70.
  1. 16.Place R J, Gregorcyk S G, Huber P J, Simmang C L.(April2001) Outcome analysis of HIV-positive patients with anal squamous cell carcinoma. Dos Colon Rectum. 44(4), 506-12.
  1. 17.Bekele S, Gelaw Y, Tessema F.(May27,2013) Ocular manifestation of HIV/AIDS and correlation with CD4+ cells count among adult HIV/AIDS patients in Jimma town, Ethiopia: a cross sectional study. , BMC Ophthalmol.13 20, 10-1186.
  1. 18.Cruzado-Sánchez D, Salas-Diaz M, Tellez W A, Alvarez-Matos S E, Serpa-Frias S.(May15,2017) Interferon alpha-2a as alternative treatment for conjunctival squamous cell carcinoma. Arch Soc Esp Oftalmol. pii: S0365-6691(17)30125-9. doi: 10.1016/j.oftal.2017.03.006. [Epub ahead of print].
  1. 19.Akshay Gopinathan Nair.Swathi Kaliki, Dilip Kumar Mishra, Vijay Anand Reddy, Milind N Nai. (Dec2015) Neoadjuvant chemotherapy for invasive squamous cell carcinoma of the conjunctiva: A case report. , Indian J Ophthalmol 63(12), 927-929.
  1. 20.Lecuona K, Stannard C, Hart G, Rice J, Cook C et al.(Sep2015)The treatment of carcinoma in situ and squamous cell carcinoma of the conjunctiva with fractionated strontium-90 radiation in a population with a high prevalence of HIV.Br. , J Ophthalmol. Epub2015Mar17 99(9), 1158-61.
  1. 21.Penelope A McKelvie, Daniell Mark, McNab Alan, Loughnan Michael. (2002) Squamous cell carcinoma of the conjunctiva: a series of 26 cases. , Br J Ophthalmol 86, 168-173.