A Case Report on Challenging Management of Multiple Neoplasms in Elderly
Abstract
Multiple primary malignancies especially in the head and neck region is no longer a rare occurrence and the prevalence is increasing. They were described as synchronous when the malignancies present within 6 months of another or metachronous tumors if the subsequent malignancy presents 6 months later. Many etiologies had been hypothesised including similar carcinogens exposure, genetic susceptibility and mutation, immunodeficiency or treatment of the index tumor. Among the hypotheses, the most accepted theory was field cancerisation in which the occurrence of multiple primaries in the aerodigestive tract was due to persistent exposure of similar carcinogens through inhalation or oral intake . However the co-incidence of thyroid and aerodigestive malignancies is relatively low. Hereby we would like to report a case of a 74 years old lady with known esophageal squamous cell carcinoma presented with metachronous laryngeal squamous cell carcinoma and papillary micro carcinoma of thyroid.
Author Contributions
Academic Editor: Ian James Martins, Edith Cowan University, United States.
Checked for plagiarism: Yes
Review by: Single-blind
Copyright © 2020 Ng Syiao Wei, et al.
This is an open-access article distributed under the terms of the Creative Commons Attribution License, which permits unrestricted use, distribution, and reproduction in any medium, provided the original author and source are credited.
Competing interests
The authors have declared that no competing interests exist.
Citation:
Introduction
Development of second or multiple primary tumors is often devastating for the patient and challenging to the clinicians due to the difficulties in management and treatment of the subsequent malignancies. Patients with history of treated head and neck cancer have tendency of developing second (3-5%), third (0.5%) and fourth (0.3%) primary tumor later in life, most commonly seen in head and neck, lungs or esophagus. 1 This can be attributed to the precedent exposure to carcinogenic factors, genetic susceptibility, immunodeficiency, previous chemo radiotherapy and longevity of the patient. 2 Among aerodigestive tract malignancies, advanced laryngeal cancer is commonly associated with direct extension to thyroid however only a few cases of second thyroid primary malignancy had been reported and also they were usually incidental findings during surgical resection of index tumor.
Case Report
A 74 years old Indian lady, underlying hypertension and diabetes, a chronic betel chewer but non-smoker, non-alcoholic initially presented with per rectal bleeding, epigastric pain, dysphagia and constitutional symptoms for past 3 months. Oesophagogastroduodenoscopy revealed a circumferential fungating growth of 3-4cm length at gastroesophageal junction (30cm from incisors) which biopsy showed moderately differentiated squamous cell carcinoma. She was assessed using Computed Tomography of Thorax, Abdomen and Pelvis (CECT TAP) and Positron Emission Tomography – Computed Tomography (PETCT) and diagnosed to have esophageal squamous cell carcinoma (cT3 N2 M0). She completed neoadjuvant therapy including 5.5 weeks of radiotherapy 4140cGy/23# and 5 weeks of weekly carboplatin and paclitaxel. The patient tolerated the neoadjuvant therapy well and nasogastric tube feeding was maximised. Subsequently she underwent McKeown esophagectomy in December 2018.
Post-operatively she was admitted to ICU for 6 days, attempted extubation twice however she developed post extubation stridor. Flexible nasopharyngeal laryngoscopy (FNPLS) done noted right vocal cord palsy, left vocal cord was mobile, the rest of the larynx and hypopharynx were normal. No mass visualized. Patient was treated as right vocal cord palsy secondary to intubation injury and underwent tracheostomy. She was discharged with double lumen tracheostomy tube size 6.0mm. During ENT follow up in March 2019, FNPLS showed bilateral vocal cord fixed at paramedian position, no mass seen. She was treated as post intubation injury and no imaging was done. However during subsequent follow up in December 2019, FNPLS noted bilateral vocal cord fixed at paramedian position, mass involving entire left vocal cord. Fibrescopic examination of tracheostomy stoma noted mass extending to inferior surface of left vocal cord. Trachea is clear till carina. No neck mass. Complete blood count, renal function and liver function tests were within normal range, thyroid function test were normal. Contrast enhanced computed tomography (CECT) of neck showed left vocal cord mass, posteriorly involves posterior aspect of left cricoid cartilage, superiorly extend to the inferior aspect of left pyriform sinus, laterally extend to the thyroid cartilage without obvious erosion, inferiorly it extends to the level of cricoid cartilage. No cervical lymph nodes enlargement. Thyroid gland appeared normal. Positron Emission Tomography – Computed Tomography (PETCT) done showed left glottis nodule without enlarged cervical lymph nodes or evidence of recurrent esophageal cancer or distant metastasis. She underwent direct laryngoscopy and biopsy, intraoperatively noted mass occupying the entire left vocal cord, involving anterior commissure. Right vocal cord, posterior commissure and subglottic region were clear. Biopsy of left vocal cord proved to be keratinizing squamous cell carcinoma.
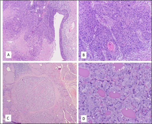
The patient was diagnosed as Stage 3 (T3 N0 M0) laryngeal squamous cell carcinoma. She was referred to a Senior Head and Neck Consultant Surgeon and she underwent total laryngectomy and total thyroidectomy in April 2020. The operation was uneventful. Intraoperatively, the tumor was confined to left vocal cord, left ventricle and anterior commissure with minimal extension to subglottis. Right vocal cord, base of tongue, epiglottis, posterior cricoid area and epiglottis were clear, no mass seen. Thyroid appeared normal. Gastric conduit with supplying artery also noted close to neopharynx but wasn’t interfered. She was started on thyroxine and calcium supplements post operatively. Histopathology of laryngectomy specimen showed moderately differentiated squamous cell carcinoma of supraglottis (TNM: at least pT2) and also revealed the third malignancies, multifocal papillary micro carcinoma of bilateral thyroid lobes (TNM: pT1a). Patient tolerated the surgery well and recovery was uneventful. Post operatively, she was referred to oncologists for chemoradiotherapy. However since she had received radiation dosage closed to organ tolerance during neoadjuvant therapy for esophageal cancer which was overlapping with the radiation field for laryngeal cancer, she wasn’t subjected to adjuvant chemoradiotherapy. Figure 1.
Figure 1.A: Larynx: Full thickness dysplasia of the lining epithelium of the false vocal cord followed by invasion into the stroma with necrotic area. (H&E x40). B: Larynx: The tumour arranged in nest with moderately pleomorphic nuclei. Intercellular bridging, keratin pearl and mitoses are observed. (H&E x100). C: Thyroid: One of the foci of papillary micro carcinoma, surrounded by benign thyroid follicle. (H&E x40). D: Thyroid: The tumor cells showed enlarged, elongated and overlapping nuclei, irregular nuclear membrane, nuclear grooving and Orphan Annie nuclei (H&E x400)
Discussion
Based on our literature search, triple primary malignancies were rare and this is the first combination of laryngeal, esophageal and thyroid cancers. In view of diagnosis of esophageal cancer was made in 2018, while the laryngeal and thyroid cancers were diagnosed in 2020, the latter two were described as metachronous tumors. The laryngeal and thyroid lesions, in relation to one other, would be synchronous tumours.
Patients with squamous cell carcinoma of the aerodigestive tract have a high tendency to develop second primary malignancies. A 15-year study by San-Chi Chen et al. showed esophageal cancer patients had increased tendency to develop a second primary tumor, most frequently at aerodigestive tract, especially head and neck, lungs and stomach.3 Among head and neck cancer, the most common site is hypopharynx (43.0%), followed by oral cavity (26.8%) and larynx(19.7%). 4 Field cancerisation was postulated as aerodigestive tract is exposed to similar carcinogens such as tobacco and alcohol concurrently. 3 Our patient was neither smoker nor alcoholic but a chronic betel chewer. Betel chewing was found to be an extremely important risk factor for oral cancer, followed by head and neck, esophageal and gastric cancer especially if betel juice was swallowed 5, 6. The co-existent of laryngeal and esophageal cancer in this patient was corresponding to the theory of field cancerisation as they were exposed for similar carcinogens from betel. Most radiation induced thyroid cancers are papillary thyroid carcinoma and are commonly presented with thyroid nodule with latency of 5 to 10 years after radiation exposure. 7 We postulated that the occult thyroid malignancy in our patient could be radiation induced thyroid cancer secondary to neoadjuvant chemoradiotherpay for esophageal cancer which was yet to manifest but was diagnosed incidentally during histopathological examination of laryngectomy specimen.
Regular surveillance using FNPLS before and after treatment of esophageal cancer is important to diagnose second primary malignancy early. The subsequent primary tumors usually carried poorer prognosis by being more aggressive, more resistant to treatment and spread early hence requiring prompt treatment; however unfortunately they were frequently missed and were diagnosed at late stage. Our patient was diagnosed to have laryngeal cancer stage 3 during her 6 monthly follow up for tracheostomy tube change. She was immediately planned for total laryngectomy however her case was complicated with previous history of Mc Keown esophagectomy and chemoradiotherapy resulting in delay in operation. The upper gastrointestinal surgeon was concerned that, after esophagectomy, stomach pull up was done and the gastric conduit was at the level of C6-C7. This might be encountered during total laryngectomy and interfered with the reconstruction of neopharynx. On the other hand, total laryngectomy may compromise blood supply of gastric conduit. Hence her case was discussed with Senior Head and Neck Consultant and proceeded for total laryngectomy and total thyroidectomy.
Thyroidectomy is routinely advocated as part of total laryngectomy especially in advanced laryngeal cancer with thyroid invasion. 8 Hemithyroidectomy was frequently performed in order to preserve thyroid function with less complications however, a quarter of the patients reported to be complicated with hypothyroidism and upto three quarters in those patients who also received post operative radiotherapy. 9 These patients may require life long thyroxine supplementation. In view of the risk of thyroid gland involvement in laryngeal malignancy ranged from about 1 to 30 percent and it may not be evident in radiological investigation 10 and frequent association of aerodigestive tract and thyroid malignancy2, patients who were planned for laryngectomy should be carefully selected for thyroidectomy as well. Our patient had her preoperative evaluation in January 2020. On examination there was no obvious neck swelling, thyroid function test was normal and the CECT Neck revealed no thyroid invasion. However the decision to include total thyroidectomy was after multifactorial considerations. Firstly, her direct laryngoscopy findings revealed anterior commissure involvement of the laryngeal cancer which was one of the predictors of thyroid gland invasion.11 Secondly, laryngeal cancer was the second primary malignancy occurring in the patient and she already went through a major operation with chemoradiotherapy. Total thyroidectomy may minimise the risk of local recurrence of laryngeal cancer 12 or thyroid malignancy, 13avoiding a third major operation which might be taxing on the aging body. Besides, the surgical resection of our patient was much delayed due to multiple multidisciplinary meetings, hence the preoperative CT scan may not be reliable in concluding the extent of invasion by laryngeal cancer. Lastly, after weighing the risks and benefits, the patient underwent total laryngectomy combined with total thyroidectomy and it turned out to be a bliss when the histopathology specimen showed multifocal papillary micro carcinoma in bilateral thyroid lobes.
With the advance of healthcare and technology, the longevity of the people is extended and the elderly population has been growing especially in the developed countries. In medical literature, the elders are defined as more than 70 years old and they are divided into three categories based on the National Institute of Aging, young old (65-74 years old), older old (75-84 years old) and oldest old (85 and above). 14In view of reducing physiological reserve and increasing comorbidities among the elderly, their abilities to withstand long standing cancer treatment was thought to be compromised and hence they are less likely to receive potentially curative treatment compared with their younger counterparts.15, 16During the management of our patient’s second primary malignancy we faced similar dilemmas in view of her underlying frailty, comorbids ie esophageal cancer with history of chemoradiotherapy and complexity of resection of laryngeal tumor due to previous esophagectomy. The options of her treatment can be divided into medical therapy which was chemoradiotherapy or surgical resection which is potentially curative. The initial plan was pivoted towards medical therapy considering the age, comorbids and difficult surgery, however with the risks of residual tumor or local recurrence. This was supported by a review done by Fuller et al comparing different treatment modalities for 412 patients diagnosed with T3 laryngeal cancer. It showed that laryngeal preservation therapy with concurrent chemoradiotherapy had better long term outcomes than laryngectomy with adjuvant therapy in terms of oncologic, functional and survival endpoints. 17, 18However surgical resection turned out to be the only option after discussion with oncologists and upper gastrointestinal surgeon as she was already irradiated previously at dosage closed to organ tolerance for neoadjuvant therapy of esophageal cancer. Subsequently patient underwent Mc Keown esophagectomy and gastric pull up with anastomosis. The anastomotic site was at cervical level 6 and 7. The radiation field for laryngeal cancer would be covering the gastric pull up and anastomosis site which was already irradiated previously. Reirradiation might result in severe acute toxicities and late toxicities which could be worse and less tolerated in elderly population. 19 The grave complications of reirradiation anticipated in this patient included pharyngeal stenosis, tissue necrosis leading to tracheoesophageal fistula and anastomosis conduit breakdown and neo-esophageal perforation leading to mediastinitis. 18, 20 These complications are best prevented. On the other hand, chemoradiotherapy is for palliative intent and the laryngeal cancer is not curable even with higher toxicity.
The management of multiple primary malignancies in elderly population is challenging due to progressive reduction of functional reserve of multiple organs, enhanced susceptibility to side effects of chemoradiotherapy and surgical complications and greater association with chronic diseases. This was further complicated by fluctuations in social support and financial resources. 21 Multiple studies had proven that age alone is an unreliable factor for decision making in cancer therapy, instead biological age is the main determinant in deciding the best cancer treatment for the elderly considering parameters e.g. psychological, nutritional profile, functional status, performance status for treatment outcomes. 15, 19 Porceddu and Haddad recommended a treatment algorithm to assist medical practitioners in managing elderly patients with head and neck cancer by taking multiple factors into considerations rather than just chronological age alone. The patients should be assessed clinically for their biological age, if the patients were observed to be frail or intermediate, Geriatric-8 Screening tool and if needed, comprehensive geriatric assessment would be used to identify frail patients thus planned for palliative therapy. Those patients who fulfilled criteria should be involved in decision making for a multidisciplinary cancer therapy with curative intent considering cancer therapy is a long term therapy which also requires good social and financial support.22It is important to note that chemoradiotherapy and surgery are equally efficacious across all age group. The elderly patients who had opted for curative treatment may experience more toxicity secondary to chemoradiotherapy hence their management should be carefully tailored and involve multi disciplines. They also required more supportive care than their younger counterparts hence coordinating care with other physicians, primary care providers and care takers with more frequent follow up were warranted.19
Conclusion
As the technology advances, the senior population is steadily growing and multiple primary malignancies will be increasingly common. Chronological age is significantly associated with overall and medical, but not surgical complications. Elderly patients with second primary malignancies should be carefully screened prior precluded from curative cancer therapy.
Acknowledgements
The authors declared that this study has received no financial support
References
- 1.Mehdi I, Shah A H, Moona M S. (2010) Synchronous and metachronous malignant tumours expect the unexpected. , JPMA J Pak Med Assoc 60, 905-909.
- 2.HEROIU A-D, DANCIU C E, POPESCU C R. (2013) Multiple Cancers of the Head and Neck. , Mædica 8, 80-85.
- 3.Chen S-C, Teng C-J, Hu Y-W. (2015) Secondary Primary Malignancy Risk among Patients with Esophageal Cancer in Taiwan: A Nationwide Population-Based Study. , PLoS ONE 10(1), 1-11.
- 4.Watanabe A, Hosokawa M, Taniguchi M. (2007) Head and neck cancer associated with esophageal cancer. , Auris Nasus Larynx 34, 207-211.
- 5.Nwe K K, Aung S, Sein N, Win T. (2016) Betel quid chewing habit in head and neck cancer patients in 2012-2015. , Toungoo, Myanmar, J Clin Oncol 34, 13040-13040.
- 6.Wu M-T, Lee Y-C, Chen C-J. (2001) Risk of betel chewing for oesophageal cancer in Taiwan. , Br J Cancer 85, 658-60.
- 7.Iglesias M L, Schmidt A, Ghuzlan A A. (2017) Radiation exposure and thyroid cancer: a review. , Arch Endocrinol Metab 61, 180-187.
- 8.Li S X, Polacco M A, Gosselin B J. (2017) Management of the thyroid gland during laryngectomy. , J Laryngol Otol 131, 10-1017.
- 9.Sinard R J, Tobin E J, Mazzaferri E L. (2000) Hypothyroidism after treatment for nonthyroid head and neck cancer. , Arch Otolaryngol Head Neck Surg 126, 652-657.
- 10.Elliott M S, Odell E W, Tysome J R. (2010) Role of thyroidectomy in advanced laryngeal and pharyngolaryngeal carcinoma. Otolaryngol--Head Neck Surg Off J Am Acad Otolaryngol-Head Neck Surg 142: 851–855.Doi:. 10-1016.
- 11.Aghazadeh K, Dabiri Satri S, Sharifi A. (2018) Predictors of Thyroid Gland Invasion in Laryngeal Squamous Cell Carcinoma. , Iran J Otorhinolaryngol 30, 153-158.
- 12.Gürbüz M K, Açıkalın M, Tasar S. (2014) Clinical effectiveness of thyroidectomy on the management of locally advanced laryngeal cancer. , Auris Nasus Larynx 41, 69-75.
- 13.Ahn D, Lee G J, Sohn J H. (2020) Recurrence following hemithyroidectomy in patients with low- and intermediate-risk papillary thyroid carcinoma. , BJS Br J Surg 107, 687-694.
- 15.Grénman R, Chevalier D, Gregoire V. (2010) Treatment of head and neck cancer in the elderly:. European Consensus (panel 6) at the EUFOS Congress in Vienna , Eur Arch Otorhinolaryngol 267, 1619-1621.
- 16.Sarini J, Fournier C, Lefebvre J-L. (2001) Head and Neck Squamous Cell Carcinoma in Elderly Patients: A Long-term Retrospective Review of 273 Cases. Arch Otolaryngol Neck Surg 127:. 1089-1092.
- 17.Fuller C D, ASR Mohamed, Garden A S. (2016) Long-term outcomes aftermultidisciplinary management of T3 laryngeal squamous cell carcinomas: Improved functional outcomes and survival with modern therapeutic approaches: Outcomes of T3 laryngeal cancer. Head Neck 38: 1739–1751.Doi:. 10-1002.
- 18.Anschuetz L, Shelan M, Dematté M. (2019) Long-term functional outcome after laryngeal cancer treatment. , Radiat Oncol 14, 1-8.
- 19.VanderWalde N A, Fleming M, Weiss J, Chera B S. (2013) Treatment of Older Patients With Head and Neck Cancer: A Review. , The Oncologist 18, 568-578.
- 20.Duijm M, NC van der Voort van Zyp, Vaart P van de. (2020) Predicting High-Grade Esophagus Toxicity After Treating Central Lung Tumors With Stereotactic Radiation Therapy Using a Normal Tissue Complication Probability Model. , Int J Radiat Oncol 106, 73-81.
